皮肤过敏的常见危害

  皮肤过敏的情况是非常的常见的,我们在生活中,可能不经意之间就会出现皮肤过敏。对于皮肤过敏,除了要及时的治疗,我们也需要了解皮肤过敏会造成哪些危害,做好防患准备,尽可能的降低皮肤过敏对我们造成的影响。

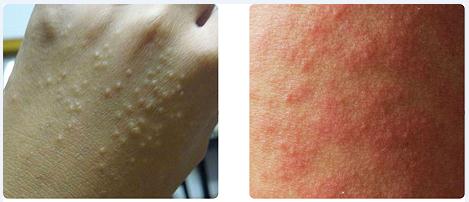
  皮肤过敏对你的影响有哪些?

  1、影响容颜:皮肤过敏发病的时候一般皮肤表面会有赤红,触之有痛,有些皮肤过敏还会出现轻微的脱屑,甚至有裂口,严重的影响到患者的皮肤,使得皮肤失去光泽,影响到容颜。

  2、影响生活质量:皮肤过敏有的时候伴随着剧烈的瘙痒症状,患者夜不能寐,睡眠质量大大下降,白天的生活也会受到很大的影响,容易让患者变得浮躁,正常生活不能进行。

  3、并发症:皮肤过敏有的时候会破坏身体的免疫系统,使得细菌等其他诱病因子趁机侵入到身体,诱发一些并发症,对健康存在威胁。

沈阳肤康皮肤病医院

你身边的皮肤管家

温馨提示:倘若您想了解更多沈阳肤康皮肤病医院的最新信息。您可以拨打免费询问热线:024-31981111;4008120707或请在线询问医师。

网上挂号:
253人正在客服
|
732人已经预约
|
立即咨询
姓名: 性别: 年龄: 电话:
病种: 日期:
温馨提示:预约成功后,预约挂号中心会以电话或者短信的方式通知预约号,如有疑问请拨打024-31981111客服。
医师团队Expert team
来院路线route to the college

地址:沈阳市大东区小北街38号

乘车路线:市内乘坐105路、116路、131路、156路、213路、221路、254路、276路、290路、294路到小北街站下车即到。

健康热线:024-3198 1111

辽ICP备17001269号-3